歯と顎の異常な位置を矯正し、
笑顔と顎の機能を向上させる治療過程です。
歯の理想的な位置と状態を再調整し、
美しいスマイルラインと健康な口腔をお届けします。
Orthodontics
歯列矯正ソリューション
歯列矯正とは?
歯列矯正は、専門の矯正装置を使用して歯と顎の異常な位置や咬合問題を正しく矯正する治療過程です。顎と歯の位置を調整して咬合と歯の機能を安定させ、変化した顎の長さと位置を調節して顎と顔面筋肉のバランスを整えることができます。美しいスマイルラインとともに健康な口腔機能を取り戻せます。
矯正タイプ サージェリーファースト矯正、受け口矯正、顔面非対称矯正、出っ歯矯正、部分矯正、舌側矯正など
施術情報
サージェリーファースト矯正とは?
手術が先、矯正は後で
サージェリーファースト矯正は、従来の「矯正→手術」の順番を逆転させ、顎手術を先に行ってから矯正治療を進める方法です。手術によって骨格的不調和を先に解決するため外見改善が素早く行われ、異常な骨格が正常な骨格に変わることで審美的満足感を早期に得ることができます。
術後に変化した顎と歯の位置を精密に再調整して咬合と歯の機能を安定・回復させることが核心目的であり、従来の矯正-手術方式に比べ全体の治療期間を短縮できる利点があります。
術前精密分析
3D CTと口腔スキャンで骨格および歯の状態を精密に分析し、患者の顔型と咬合状態を総合的に評価して最適な手術計画を立案します。
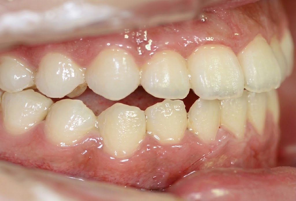
術直後
骨格的不調和を解決し、審美的改善の基盤を整える段階です。手術によって異常な骨格が正常位置に移動し、外見改善が素早く現れます。
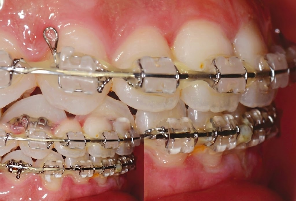
術後矯正中
変化した顎の位置に合わせて歯の咬合を精密に調整する過程です。矯正装置を通じて歯を理想的な位置に移動させ、安定した咬合を達成します。
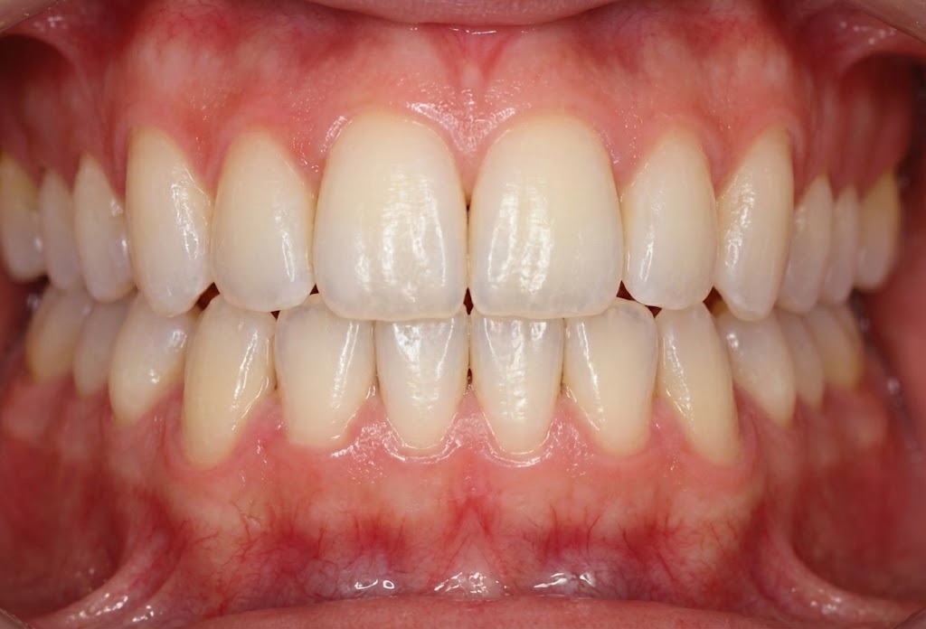
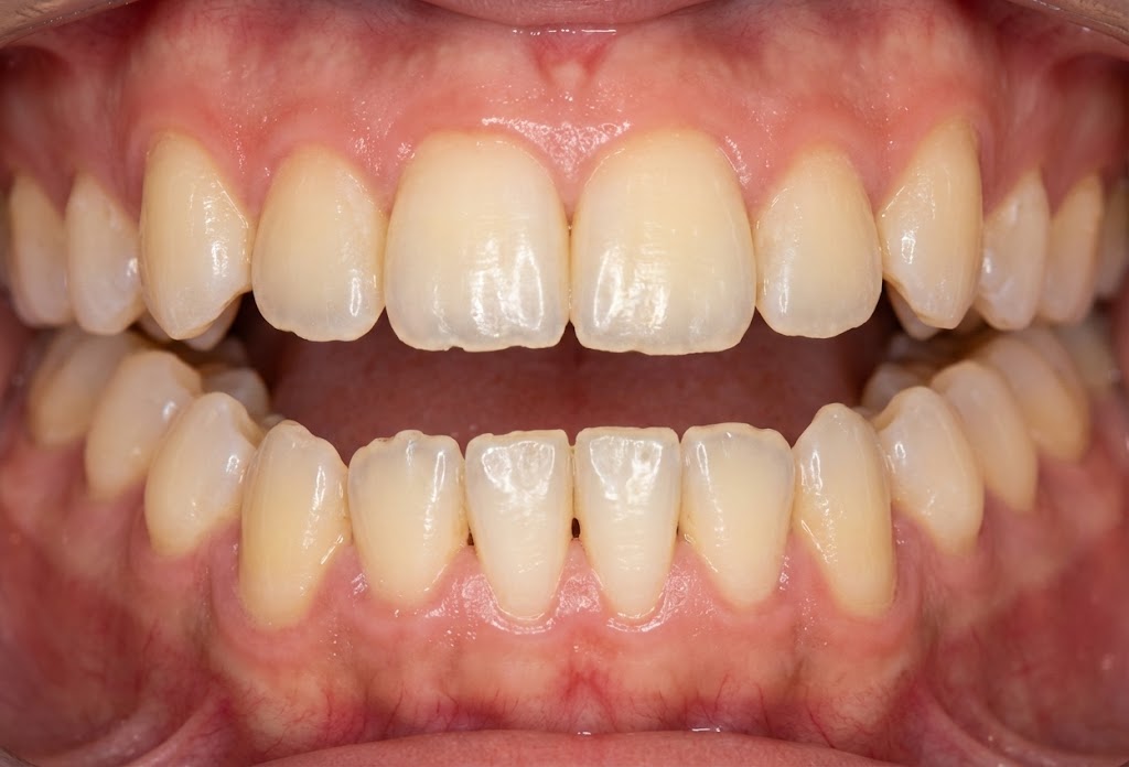
術後矯正完了
安定した咬合と美しいスマイルラインを完成させる最終段階です。リテーナーによって矯正結果が長期間維持されるよう管理します。
SMILEVIEWの矯正の特長
素早い審美的改善
手術を先に行うことで外見改善が素早く行われ、正常な骨格への変化により早期に審美的満足感を体験できます。
機能的な咬合の回復
正しい咀嚼機能と顎関節のバランスを取り戻し、全体的な口腔健康を向上させて安定した咬合を達成します。
矯正科専門医との連携診療
手術計画から細心な分析が必要なため、矯正科医療スタッフとの緊密な連携診療を通じて最適な治療結果を導きます。
体系的なアフターケア
リテーナー管理と定期検診により矯正結果が長期間安定して維持されるよう、体系的なアフターケアを提供します。
両顎手術と組み合わせた矯正治療
両顎手術は、上顎と下顎の骨格および歯の不正咬合を治療し、審美的な顔の骨格と正常な咬合を得ることを目的とした手術です。各矯正タイプをクリックして詳細情報を確認してください。
受け口矯正
下顎の過成長または上顎の成長が相対的に不足して下顎が突出した場合の矯正で、骨格的不調和を解決して顔のバランスと正常な咬合を回復させます。
下顎突出による
顔のアンバランス改善
受け口(下顎前突症)は下顎が上顎より前に出ている状態で、横から見ると下顎が突出して見え、正面からは顔が長く見える特徴があります。咀嚼機能の低下だけでなく、発音問題や顎関節障害を伴う場合があり、積極的な矯正が必要です。
このような方に必要です
下顎が上顎より前に出ている場合
顔が長く見えて印象が強くなったり老けて見える場合
上下の歯が逆に噛み合い咀嚼効率が落ちる場合
顔面非対称矯正
顔の上下の長さまたは左右対称のバランスが合わない時に行う矯正で、顎の非対称を矯正して均整のとれた顔のラインと安定した咬合を同時に達成します。
左右バランスを取り戻す
顔面対称矯正
顔面非対称は、上顎または下顎の左右の長さが異なる、または顎が一方に偏って顔の正中線がずれている状態です。審美的問題だけでなく、片側に偏った咀嚼習慣、顎関節痛、歯の正中線のずれなどの機能的問題を伴う場合があります。
このような方に必要です
上顎の左右の長さが合わない場合
下顎の左右対称が合わない場合
上下の歯の正中線が大きくずれている場合
出っ歯矯正
横から見た時に鼻先や顎先に比べて口が前に突出している場合の矯正で、横顔のEラインを改善し自然な口唇ラインを取り戻します。
自然な横顔のための
出っ歯改善
出っ歯は歯や歯槽骨が前方に突出して口が出て見える状態で、口を閉じにくかったり無意識に口が開いたりする症状を伴うことがあります。長い顔、顔面非対称、歯肉過多露出(ガミースマイル)などを伴う場合が多く、正確な診断を通じて個人に合った最適な矯正方法を適用します。
このような方に必要です
長い顔を伴う出っ歯の場合
顔面非対称を伴う出っ歯の場合
歯肉過多露出を伴う出っ歯の場合





