線上預約
SLEEP
IMPLANT

提供舒適無痛植牙治療的
SMILEVIEW睡眠植牙方案。

透過睡眠麻醉,在毫無不安的睡眠中
完成安全精密的植牙手術。

Scroll Down ・ Scroll Down ・ Scroll Down ・

Sleep
Implant

睡眠植牙

SMILEVIEW SIGNATURE
SMILEVIEWIMPLANTSMILEVIEWIMPLANT SMILEVIEWIMPLANTSMILEVIEWIMPLANT
Scroll Down ・ Scroll Down ・ Scroll Down ・
01

什麼是睡眠植牙?

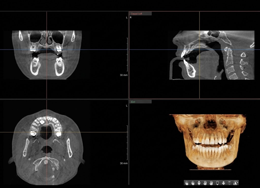
睡眠植牙是透過靜脈鎮靜(睡眠)麻醉,讓患者在睡眠狀態下舒適地植入植體的手術方式。即使有牙科恐懼症或對疼痛敏感的患者,也能在毫無不安感的情況下安全接受治療,並在專業麻醉監控下進行精密植牙。SMILEVIEW牙醫診所使用世界第一的Osstem植體,透過3D CT精密診斷制訂最佳手術計畫。

種類 一般植牙、即刻植牙、All-on-4、All-on-6、迷你植牙等

在舒適睡眠狀態下
進行的 植牙

在無牙科恐懼症、無疼痛顧慮的睡眠中完成。
麻醉疼痛醫學科專科醫師常駐,安全進行。

有牙科恐懼症的患者

在睡眠狀態下進行手術,無恐懼感

對長時間手術感到負擔的患者

所有手術在睡眠中完成

嘔吐反射嚴重的患者

透過睡眠鎮靜,無嘔吐反射舒適進行

對疼痛敏感的患者

手術中完全感覺不到疼痛

即刻植牙
Type 01

拔牙當日,
即刻植牙

拔牙的同時植入植體,將手術次數與治療期間最小化。利用最新數位設備精密計畫的即刻植入,無需不必要的牙齦切開,可快速康復。

當日拔牙+植入完成
手術次數最小化
牙槽骨保存效果
快速康復
導航植牙
Type 02

3D導航
精密植入

基於3D CT數據,透過電腦實時導引的導航系統,可實現0.1mm精度的精密植牙。將神經損傷風險最小化,在最佳位置安全植入。

0.1mm精密導引
神經損傷風險最小化
最佳角度·深度植入
縮短手術時間
骨移植植牙
Type 03

重建骨量後
穩定植入

是否曾被告知因骨量不足而難以進行植牙?SMILEVIEW運用自體骨、異種骨等多種骨移植材料,重建不足的骨量後穩定地植入植體。

多種骨移植材料
可進行上顎竇提升術
骨量重建後穩定植入
高成功率

Osstem植牙有何不同?

比較項目 一般植牙 RECOMMEND
Osstem植牙
製造商知名度各種中小型製造商全球第4位、韓國第1位全球企業
臨床數據有限的臨床數據20年以上臨床數據積累
表面處理一般表面處理專利SA表面處理技術
骨結合力普通骨結合優秀的初期固定力及骨結合
相容性有限假牙相容與各種假牙完全相容
保固各製造商不同正品認證書+終身保固
一般植牙
製造商各種中小型製造商
臨床數據有限
表面處理一般表面處理
骨結合力普通
相容性有限
保固各製造商不同
Osstem植牙
製造商全球第4、韓國第1
臨床數據20年以上積累
表面處理專利SA技術
骨結合力優秀初期固定力
相容性完全相容
保固正品認證+終身保固
睡眠植牙細節
PROCEDURE INFO

睡眠植牙,
細節就是不一樣

Sleep implant with clinical precision


療程時間
30~60分鐘

含睡眠麻醉全程療程

麻醉方式
睡眠鎮靜

靜脈鎮靜麻醉(IV Sedation)

恢復期
1~2

回歸日常所需時間

成功率
98%+

Osstem植牙臨床標準

01

麻醉科專科醫師常駐

麻醉疼痛醫學科專科醫師全程陪同,以患者安全為最優先進行管理。

專科醫師常駐 安全管理
02

即時生理監控

即時監測血壓、脈搏、血氧飽和度,持續確認手術中患者的狀態。

生體監控 即時確認
03

Osstem正品植體

僅使用經全球驗證的Osstem植體,並發行正品認證書以透明確認。

正品認證 全球驗證
04

數位精密診斷

以3D CT與口腔掃描器精密診斷後,制訂個人化手術計畫,導出最佳結果。

3D CT 口腔掃描器
RECOMMEND

推薦以下患者考慮睡眠植牙

01

有牙科恐懼症的患者

因對牙科治療的極度恐懼而拖延治療的患者,在睡眠狀態下舒適進行手術。

02

需要多顆植牙的患者

需一次植入多顆植體時,透過睡眠鎮靜,長時間手術也能舒適進行。

03

嘔吐反射嚴重的患者

口腔內插入器具時嘔吐反射嚴重的患者,在睡眠鎮靜狀態下也能舒適接受手術。

04

有全身性疾病的患者

患有高血壓、糖尿病等全身性疾病時,在麻醉科專科醫師的管理下安全進行手術。

05

希望快速恢復日常的患者

透過高效率的睡眠手術縮短治療時間,手術後可快速回歸日常生活。

06

高齡患者

體力上對長時間手術感到負擔的高齡患者,也可透過睡眠鎮靜舒適安全地進行手術。

療程步驟

為您逐步說明睡眠植牙的精密手術流程。

01
精密檢查
3D CT攝影及口腔分析
02
療程規劃
制訂個人化治療計畫
03
睡眠植入
睡眠麻醉精密植入
04
假牙與管理
裝戴假牙及術後管理
精密檢查及CT攝影
01 STEP 01
STEP 01

精密檢查及CT攝影

專科醫師親自確認口腔狀態,透過3D CT攝影精密分析骨組織、神經位置等。同時確認患者的全身健康狀態,為安全手術做好準備。

3D CT精密攝影
骨組織分析
神經位置確認
全身健康檢查
制訂個人化手術計畫
02 STEP 02
STEP 02

制訂個人化手術計畫

考量患者的口腔狀態與全身健康,決定最適合的植體種類、植入位置、方向及深度。透過數位模擬提前確認結果。

選擇植體種類
決定植入位置·方向
數位模擬
個人化計畫
睡眠麻醉植牙植入
03 STEP 03
STEP 03

睡眠麻醉植牙植入

在靜脈鎮靜(睡眠)麻醉下,患者在舒適睡眠狀態中,利用導航系統精密植入植體。麻醉科專科醫師全程管理安全。

睡眠鎮靜麻醉
導航導引
即時監控
專科醫師安全管理
假牙完成及術後管理
04 STEP 04
STEP 04

假牙完成及術後管理

植體與牙槽骨充分結合後,裝戴個人化假牙(牙冠),透過定期複診進行長期管理。

製作個人化假牙
裝戴牙冠
定期複診管理
終身保固計畫
Q&A

收集了關於睡眠植牙的常見問題。

A.透過睡眠(鎮靜)麻醉,在患者入睡狀態下進行手術。適合有牙科恐懼症或對疼痛敏感的患者,手術中可在無不安感的情況下舒適接受治療。專業麻醉科醫療人員全程監控患者狀態。
A.只要進行適當的口腔護理與定期複診,植體可半永久性使用。一般可使用10~20年以上,根據護理狀況,也有許多人終身使用。
A.與拔牙後等待牙槽骨癒合的傳統植牙相比,即刻植牙在成功率與穩定性上並無顯著差異。確認患者的牙槽骨狀態後再建議實施,請放心。
A.是的,透過骨移植植牙可以實現。植入部位牙槽骨不足時,植入人工骨以補充骨量後穩定地植入植體。透過精密檢查為您制訂最佳治療計畫。